Single Tooth Implants
Dental implants placed next to natural teeth gives the best result in terms of aesthetics.
The single-tooth implant between two natural teeth is an almost perfect dental restoration; the appearance is almost undetectable and the success rates are close to 100%.
With careful planning the risk of damage to adjacent teeth is small and if a tooth is inadvertently damaged by the placement of a nearby implant, any resulting problems can generally be resolved by root canal treatment in which the nerve of the natural tooth is removed and the nerve chamber sealed.

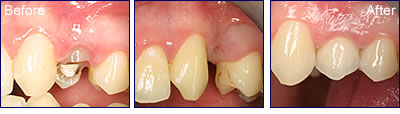
The case shown above presented with a long-term root fracture of the tooth at position upper left four which caused bone loss and rendered the tooth beyond restoration.

The tooth was removed a traumatically and an implant placed, along with a small bone graft. The implant was restored using a crown and healed uneventfully. The diagram above shows replacement of a single tooth on the lower jaw with an implant.
Read about multi-tooth replacement 
Download Dental Implant Information Leaflet (887 Kb) (opens in a new window)


Call us on 
